



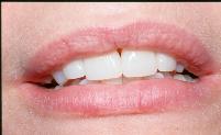
| Dr. Badr made these veneers for me in 1989 and they are still as beautiful today as they were then. |
| COUPONS & Other Services |
30-Minute In-Office SAPPHIRE Bleaching $300.00 ( will receive free Full-mouth Take-home Bleach Kit as well) Gift Certificates are Available |
| 248-656-1505 |


| Sherif E. Badr, D.D.S. Cosmetic and Restorative Dentistry |